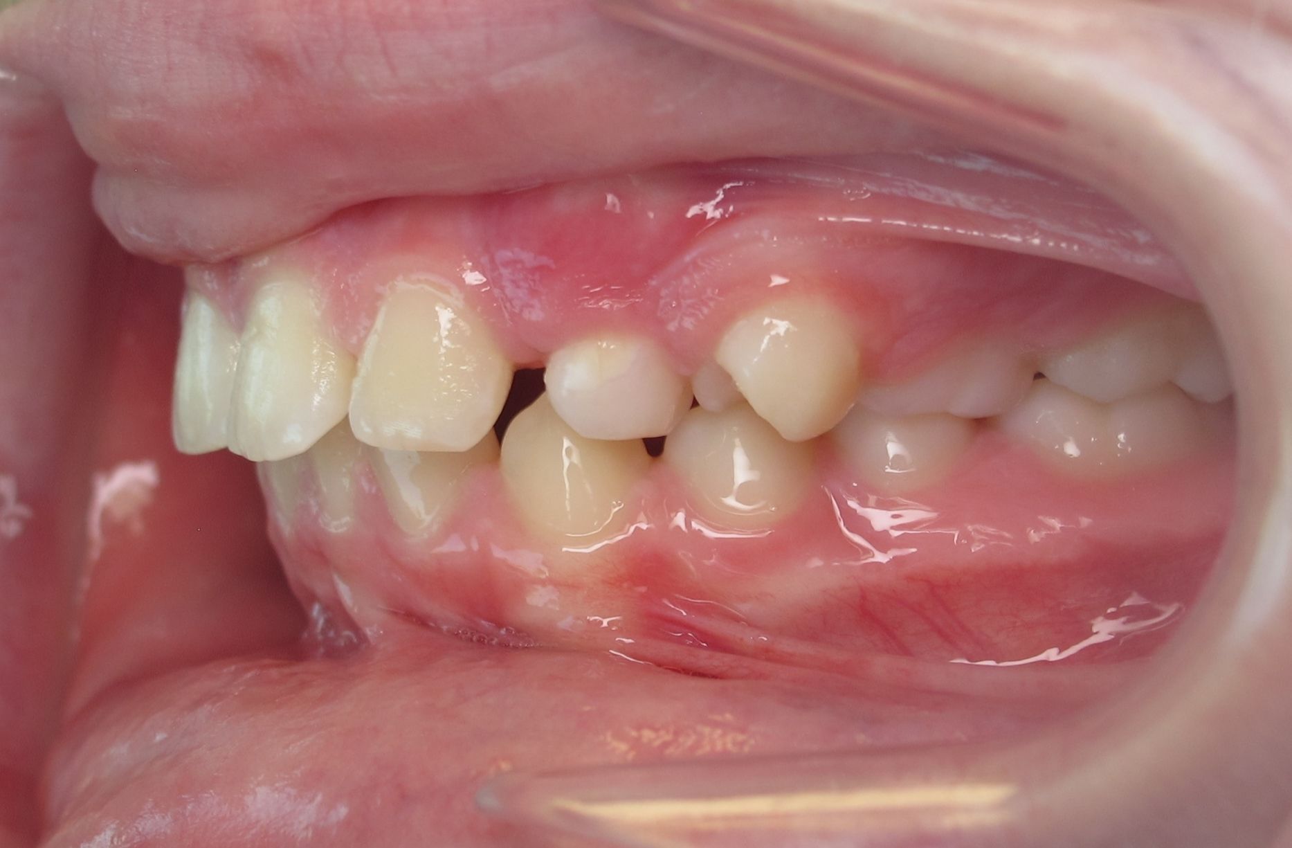
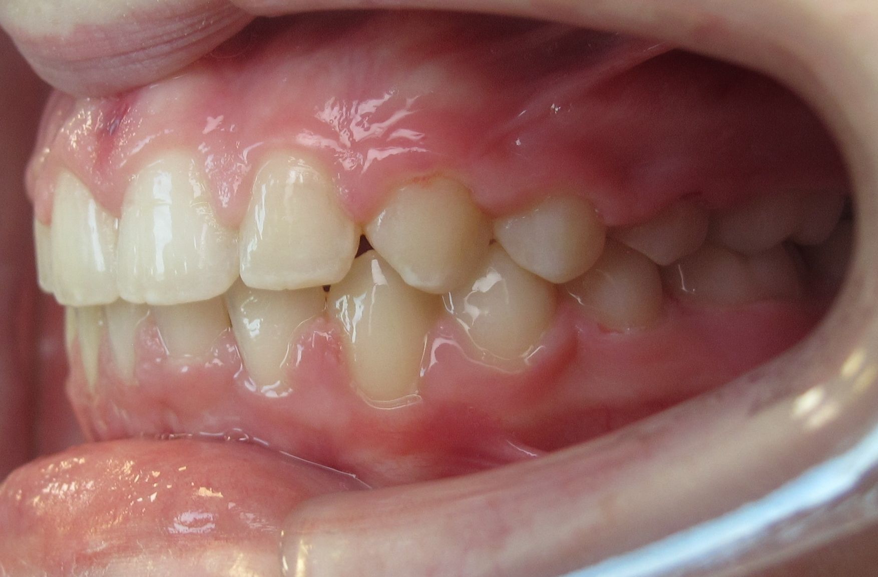
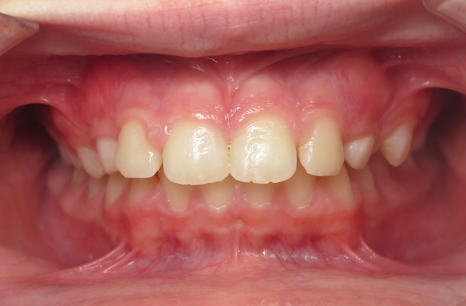
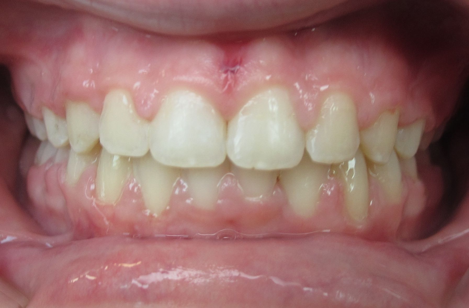
Client Spotlight April 2023 - McKayla Reaves

March 31, 2023

Client Spotlight - April 2023 McKayla Reaves

Recommended Treatment: Full orthodontic treatment utilizing the Damon System®

Recommended Duration: 36 Months Damon® Braces

Actual Duration: 32 Months


What was your biggest concern with your teeth/smile?

Was concerned of the large amounts to be done to fix/improve her bite.


What brought you in to get braces?

Lots of concerns. Mostly teeth weren’t straight. We knew she needed to the get teeth fixed. I had

braces, headgear the whole kit and caboodle and it was a lengthy process. I knew McKayla needed

orthodontic care, to fix the same issues.


Have you had braces before? If so, for how long?

No.


Why did you choose Hero Orthodontics for your provider?

Our Dentist recommended you.


How was your experience with Damon braces?

Wonderful! The treatment took less time than anticipated. Very thankful and surprised how quickly the

teeth moved.


By Aj B December 20, 2024
Start the New Year with a Healthier, Happier Smile at HeRo Orthodontics  A new year is the perfect time for fresh starts and positive changes. Many of us set goals like eating better, exercising more, or breaking bad habits. But there’s one area we often overlook when thinking about self-improvement: our smiles. This year, consider making your smile a part of your New Year’s resolutions with the expert care of HeRo Orthodontics. Here’s why choosing orthodontics could be one of the best decisions you make in 2025: 1. Boost Your Confidence Your smile is one of the first things people notice about you. If you’ve ever felt self-conscious about crooked or misaligned teeth, now’s the time to change that. Orthodontic treatment at HeRo Orthodontics can help you get the smile you’ve always wanted. A confident smile can make a big difference in how you feel about yourself and how others see you. 2 . Invest in Your Health Orthodontics isn’t just about looking good—it’s about staying healthy. Crooked teeth can make it hard to clean properly, leading to cavities and gum problems. Straightening your teeth helps you keep your mouth cleaner and healthier, reducing the risk of serious dental issues down the line. 3. Fix Bite and Jaw Problems Orthodontics can also solve bite issues like overbites, underbites, or crossbites. These problems can cause discomfort, make eating and speaking harder, and even lead to TMJ (jaw joint) pain. HeRo Orthodontics can help correct these issues, improving both your comfort and your health. 4. Avoid Bigger Dental Problems Later Addressing alignment issues now can save you a lot of trouble (and money) in the future. Misaligned teeth can wear down faster, leading to expensive repairs. By taking care of your teeth early, you can avoid the stress of major dental work later. 5. Modern and Subtle Treatment Options Orthodontic care has come a long way! While traditional braces are still an option, you can also choose clear aligners or braces that fit behind your teeth for a more discreet experience. These modern treatments let you straighten your teeth without drawing too much attention. 6. Customized Treatment Plans At HeRo Orthodontics, we know every smile is unique. Whether you need just a small adjustment or more complex work, we’ll create a plan that’s tailored to you. You’ll get personalized care that fits your goals and lifestyle. 7. Insurance Benefits Did you know that many dental insurance plans cover orthodontics? If you’ve been putting off treatment, now might be the perfect time to take advantage of your coverage and save on out-of-pocket costs. 8. Set a Great Example for Your Kids If you’re a parent, taking care of your own smile sends a strong message to your children about the importance of oral health. It’s a wonderful way to encourage them to prioritize their own dental care. 9. Make 2025 Your Year of Change The start of a new year is all about fresh starts and positive change. Improving your smile is an investment in yourself, boosting your confidence, health, and happiness for years to come. Ready to Get Started? Why wait? Schedule your consultation with HeRo Orthodontics today and take the first step toward a brighter, healthier smile. You deserve it, and your future self will thank you! If you or someone you know want a straighter smile and all the benefits that come with it, you can contact HeRo Orthodontics. We can help you achieve a healthy and vibrant smile for the whole family. Just give us a call at (972) 722-4376. Be a HeRo! Share a smile!
By Aj B December 20, 2024
Orthodontic care has made incredible progress, offering more effective and efficient ways to address dental growth concerns. One approach that’s becoming more common is two-phase orthodontic treatment. This method tackles orthodontic issues in two separate stages, making it possible to achieve better results and healthier smiles. Let’s break down what two-phase treatment is all about, how it works, and why it might be a great option for your child. What Is Two-Phase Orthodontic Treatment? 1. Two Stages, One Goal: A Healthier Smile Two-phase orthodontic treatment is a planned process that happens in two stages. The first stage usually begins when kids are young and their jaws are still developing. This phase focuses on correcting early problems, like jaw growth issues or significant bite problems. The second phase happens later, fine-tuning tooth alignment for a balanced bite and a great-looking smile. 2. Early Action Brings Long-Term Rewards Starting treatment early, often between the ages of 6 and 10, can make a huge difference. During this phase, the orthodontist addresses key concerns like bite problems or jaw alignment. Tackling these issues early can prevent more serious problems from developing and make future treatment simpler and faster. 3. Is Two-Phase Treatment Right for Your Child? Not every child needs two-phase treatment. An experienced orthodontist will evaluate your child’s teeth and jaw to decide if this approach is necessary. It’s often recommended for kids with issues like severe crowding, crossbites, underbites, or major jaw misalignments. How Does It Work? 4. A Break Between Phases After the first phase, there’s usually a break, called the resting period. During this time, your child’s permanent teeth will continue to come in naturally. The orthodontist keeps an eye on this development to prepare for the second phase. 5. The Benefits of Two-Phase Treatment Guided Jaw Growth: Early treatment helps ensure the jaw grows correctly, reducing the chance of needing surgery later. Simpler Second Phase: Correcting key issues early often makes the second phase quicker and easier. Better Looks and Function: Two-phase treatment can improve not only the way teeth fit together but also facial balance and appearance. Confidence Boost: Addressing dental concerns early can give kids a self-esteem boost, especially as they approach their teen years. 6. Teamwork Matters Successful treatment is a team effort involving the orthodontist, your child, and you. Following instructions, keeping up with appointments, and maintaining good oral hygiene are all crucial for the best outcome. 7. Maintaining the Results Once the two phases are complete, the work doesn’t stop entirely. Retainers are often needed to keep the teeth in their new positions, and regular follow-ups will help ensure your child’s smile stays in top shape. Final Thoughts Two-phase orthodontic treatment is a smart way to handle dental issues early, giving kids the best chance for a healthy smile that lasts a lifetime. If you think your child might benefit from this approach, schedule a consultation with our team. Together, we can create a plan to set your child up for success with a smile they’ll love. Investing in your child’s oral health early can lead to big rewards—healthier teeth, a more confident smile, and a lifetime of good oral habits. Don’t wait to take the first step! If you or someone you know want a straighter smile and all the benefits that come with it, you can contact HeRo Orthodontics. We can help you achieve a healthy and vibrant smile for the whole family. Just give us a call at (972) 722-4376. Be a HeRo! Share a smile!
By Aj B November 15, 2024
Thanksgiving is just around the corner, and if you have braces, you might be wondering what’s safe to eat. Don’t worry—you can enjoy all the deliciousness of the holiday without damaging your orthodontic treatment. Here’s your go-to guide for a braces-friendly Thanksgiving. Braces-Friendly Foods to Savor Thanksgiving is all about indulgence, and there’s no reason braces should stop you from enjoying the feast. Here are some safe, tasty options: Tender Turkey: Turkey is the centerpiece of Thanksgiving and perfectly fine for braces—just make sure it’s juicy and cut into small pieces for easy chewing. Creamy Mashed Potatoes: Soft and smooth, these are a braces-friendly favorite. Add garlic, cheese, or chives for extra flavor. Steamed Vegetables: Cook veggies like broccoli, carrots, or green beans until tender. They’re healthy, easy to chew, and full of holiday flavor. Soft Dinner Rolls: Skip the crusty bread and opt for soft, fluffy rolls. A dab of butter makes them even better. Cranberry Sauce: Stick to smooth, seedless versions for a tangy treat that won’t get stuck in your braces. Silky Gravy: Drizzle over turkey, potatoes, or veggies for an extra layer of comfort and flavor. Soft Stuffing: Choose recipes with moist, soft bread for a delicious, braces-friendly take on this classic dish. Foods to Avoid Certain Thanksgiving staples can wreak havoc on your braces. Skip these items to keep your smile safe: Sticky Treats: Caramel and taffy can damage brackets and wires. Crunchy Snacks: Nuts, popcorn, and hard candies pose a risk of breaking braces. Tough Meats and Bones: Avoid chewy cuts or biting into bones, as they can strain your braces. Chewing on Ice: This can put too much pressure on your brackets and wires. Sweet and Soft Favorites Looking for braces-friendly desserts and sides? These soft options will keep your taste buds and teeth happy: Pumpkin Pie: The smooth filling is a Thanksgiving classic and safe for braces. Green Bean Casserole: Tender green beans in creamy sauce are a holiday win. Turkey Gravy: A flavorful topping that’s easy on your braces. Tips for Spicy Food Lovers You can enjoy spicy food with braces, but go easy. Here’s how: Start mild and increase heat gradually. Rinse your mouth with water after eating spicy dishes to reduce lingering spice around your braces. Avoid dishes with crunchy or hard ingredients. Skip spicy foods if your mouth is sore after an adjustment. Protect Your Smile This Thanksgiving Taking care of your braces doesn’t mean skipping the holiday fun. Stick to soft, easy-to-chew options, and avoid anything sticky or crunchy. And remember, maintaining good oral hygiene is key—brush and floss thoroughly after your feast to keep your smile healthy. Need Help with Your Braces? If you have questions or concerns about your braces, schedule a free consultation with us. Our team is here to ensure you stay on track with your orthodontic journey while enjoying the holidays. Happy Thanksgiving! Enjoy every bite, knowing your braces are safe, and your smile is in good hands. If you or someone you know want a straighter smile and all the benefits that come with it, you can contact HeRo Orthodontics. We can help you achieve a healthy and vibrant smile for the whole family. Just give us a call at (972) 722-4376. Be a HeRo! Share a smile!
By Aj B November 15, 2024
As the year wraps up, many people overlook their dental insurance benefits, leaving valuable coverage unused. Most dental insurance plans operate on a calendar-year basis, meaning any unused benefits vanish after December 31st. If you’ve been putting off a dental visit, now is the perfect time to prioritize your smile and make the most of your benefits. Why You Should Use Your Benefits Now Did you know that 1 in 4 adults have untreated tooth decay? Your dental health plays a vital role in your overall well-being, and dental insurance is an investment in staying healthy. Most plans cover preventive services like cleanings and exams—and even some advanced treatments like fillings or crowns. However, if you don’t use these benefits before the year ends, you lose them. For example, many insurance plans cover two cleanings a year. If you’ve only had one cleaning in 2024, schedule your second one now! Preventive care helps stop small issues—like cavities or gum disease—from becoming painful, costly problems later. What Happens If You Don’t Use Your Benefits? Unlike medical insurance, dental benefits don’t roll over to the next year. If your plan offers $1,000 of coverage annually and you’ve only used $500, the remaining $500 will be gone come January 1st, 2025. This is especially important if you have pending treatments. Taking action now ensures you don’t waste the coverage you’ve already paid for. Save More by Using Your Deductible and Annual Maximum Dental insurance plans often include a deductible (the amount you pay out-of-pocket before insurance kicks in) and an annual maximum (the most your insurance will pay in a year). If you’ve already met your deductible, now is the time to schedule treatments like fillings, crowns, or other necessary procedures. Nearing your annual maximum? Plan wisely by splitting major treatments between December and January to take advantage of two years of coverage. Tips to Maximize Your Benefits Here are a few ways to make the most of your dental insurance: Prioritize preventive care: Regular cleanings and exams are often fully covered and can save you from bigger expenses down the road. Understand your plan: Review what’s covered, especially for elective procedures like whitening or sealants. Use your FSA funds: If you have a Flexible Spending Account, use those dollars before they expire at year-end. Book your appointment early: Year-end schedules fill quickly—reserve your spot now to avoid the rush.  Don’t Wait—Schedule Your Visit Today There’s no better time to focus on your oral health. Whether it’s a cleaning, exam, or a treatment you’ve been putting off, we’re here to help you make the most of your benefits. End the year with a healthy, confident smile and start 2025 off right! If you or someone you know want a straighter smile and all the benefits that come with it, you can contact HeRo Orthodontics. We can help you achieve a healthy and vibrant smile for the whole family. Just give us a call at (972) 722-4376. Be a HeRo! Share a smile!
By Aj B September 25, 2024
Hooray, it's back-to-school time! As summer fun wraps up and the school days are filled with reading, math, and science, don’t forget about your child’s dental health! Make sure your child is prepared for any orthodontic issues that might come up during the school day. At HeRo Orthodontics, we recommend putting together a small travel kit of essential orthodontic supplies for their backpack. Here’s what to include: Travel toothbrush and floss sticks: It’s crucial to keep food from getting stuck in braces or other orthodontic appliances all day. If brushing isn’t possible at school, teach your child to rinse their mouth with water after eating to help remove food and reduce sugar buildup on their teeth. Orthodontic wax: This is great for covering any wires that might start poking or causing discomfort. Mouth guard: If your child plays sports, a mouth guard that fits over braces is a must for protecting their teeth. We can create a custom one for the best fit and protection. Storage case for retainers or aligners: Make sure they have a safe place to store their retainer or clear aligners when eating. Remind your child never to wrap these in a napkin—it’s too easy to accidentally throw them away! Storing them in a pocket or backpack without a case can also cause damage. When it comes to packing school lunches, avoid gum, sticky candy, or hard foods like apples and carrots that could damage braces or other orthodontic gear. Instead, cut harder fruits and veggies into small pieces or choose softer options like bananas, oranges, or cucumber slices. For more lunch ideas, check out our blog on healthy snack options! Even during the busy school year, it’s important to stay on top of your child’s brushing and flossing routine. They should brush twice a day for two minutes each time and floss daily. Good dental habits lead to a healthy, beautiful smile! If you have any questions or need advice about helping your child with orthodontic care during the school year, feel free to reach out to HeRo Orthodontics. We’re here to help and wish all our patients and their families a fantastic school year! Like what you’re reading? Follow us on Instagram and Facebook to stay updated on the latest tips and events from our office! If you or someone you know want a straighter smile and all the benefits that come with it, you can contact HeRo Orthodontics. We can help you achieve a healthy and vibrant smile for the whole family. Just give us a call at (972) 722-4376. Be a HeRo share a smile!
By Aj B September 25, 2024
At HeRo Orthodontics, we understand that traditional metal braces may not be the preferred choice for everyone, especially teens concerned about their appearance. That’s why we offer Damon Clear braces, which blend seamlessly with your natural tooth color, allowing for a more discreet treatment option. Here are 5 compelling reasons why Damon Clear braces could be an excellent choice, along with how they stack up against traditional braces and clear aligners options, like Invisalign®. 1. Natural Aesthetic Appeal Damon Clear braces are crafted from high-quality materials that mimic the clarity and color of natural teeth. Each bracket is made from a single crystal, precision-cut and polished to ensure strength and near-invisibility. This feature is particularly appealing to teens who might feel self-conscious about their smiles during these crucial years. 2. Effective Alternative to Invisalign While clear aligners options, like Invisalign® offers the benefit of being nearly invisible, it requires a high level of discipline to wear the aligners for the recommended 22 hours a day. Damon Clear braces provide a middle ground by offering the aesthetic benefits of being less noticeable while eliminating the responsibility of removable trays. This can be particularly advantageous if you anticipate your teen might struggle with the discipline required for clear aligners options, like Invisalign® 3. Non-removable Solution Damon Clear braces are bonded directly to the teeth, meaning they are working around the clock to correct your teen’s smile. Unlike clear aligners options, like Invisalign®, which can be removed and potentially forgotten, ceramic braces stay in place to continuously adjust tooth alignment. This constant pressure helps ensure the treatment stays on track and reduces the overall duration of wearing braces. 4. Continuous Treatment With Damon Clear braces, there’s no risk of losing progress because they are forgotten or not worn enough. They remain on your teen’s teeth 24/7, providing consistent treatment and minimizing the duration your child spends in braces. 5. Resists Stains Modern Damon Clear braces are designed to resist staining better than their earlier counterparts. This allows your teen to maintain a bright and confident smile even while undergoing orthodontic treatment. We ensure that any components that might stain, like the elastic ties, are changed regularly during orthodontic visits. Learn More About Ceramic Braces At HeRo Orthodontics, Damon Clear braces are just one of the many advanced options we provide to ensure comfortable, effective, and aesthetically pleasing treatment. Call us today at HeRo Orthodontics, or visit us online to schedule an appointment and learn more about how ceramic braces can benefit you or your family. If you or someone you know want a straighter smile and all the benefits that come with it, you can contact HeRo Orthodontics. We can help you achieve a healthy and vibrant smile for the whole family. Just give us a call at (972) 722-4376. Be a HeRo! Share a smile!
By Aj B May 17, 2024
Patient Spotlight May 2024 - Katie
By Aj B May 15, 2024
At HeRo Orthodontics, we understand the questions that can come with considering an early start to orthodontic treatment. Initiating orthodontic care at an appropriate age is not only cost-effective in the long run but also crucial for your child to achieve their healthiest and most aligned smile and bite. Here's what you need to know when considering the first orthodontic visit for your child: Does My Child Need an Orthodontist? The American Academy of Orthodontists suggests that children should visit an orthodontist by no later than age 7. This might seem early, but it allows Dr. Beaber to detect and address minor issues before they develop into significant concerns. Even if your child's teeth seem perfectly aligned, it's wise to schedule an evaluation. As your child grows, their bite and teeth alignment may change, necessitating periodic check-ups to accommodate the evolution of their jaw and the eruption of permanent teeth. What is Phase 1 Orthodontic Treatment? We typically begin orthodontic treatments around age 7, capitalizing on the growth phase of your child’s jaw. This early intervention can simplify later adjustments. For instance, Dr. Beaber might recommend a palate expander to widen your child's upper dental arch, making room for permanent teeth to come in without overcrowding. Opting for Phase 1 treatment early on can significantly reduce the time your child might spend in braces during their adolescent years—particularly beneficial for children involved in contact sports, as it lessens the risk of injuries to protruding front teeth. Advantages of Phase 1 Treatment: Increased space for emerging teeth Improved nasal airflow and healthier breathing Enhanced facial symmetry through guided jaw growth Lower risk of injury to front teeth Preserved space for future teeth Fewer tooth extractions necessary Shorter overall time spent in braces What is the Orthodontic Resting Period? After completing Phase 1, there is a resting period of one to two years before beginning Phase 2. This interval allows for the eruption of the remaining permanent teeth and further growth of the jaw. Having undergone Phase 1, your child’s teeth will be better positioned to accommodate these new teeth without the crowding that might otherwise occur. What is Phase 2 Orthodontic Treatment? Phase 2 begins once all permanent teeth have appeared. Children who have completed Phase 1 generally spend less time in braces during this phase. Beyond straightening teeth, Phase 2 treatment aims to enhance nasal breathing and improve sleep quality. Start Your Child’s Smile Journey Today At HeRo Orthodontics, we are committed to helping each child achieve their best possible smile. To discover more about our treatments and to schedule a free consultation, contact us at our Heath/Rockwall office. Let us guide your child’s journey to a healthier, more radiant smile! If you or someone you know want a straighter smile and all the benefits that come with it, you can contact HeRo Orthodontics. They can help you achieve a healthy and vibrant smile for the whole family. Just give them a call at (972) 722-4376. Be a HeRo share a smile!
By Aj B May 15, 2024
At HeRo Orthodontics, we understand that traditional metal braces may not be the preferred choice for everyone, especially teens concerned about their appearance. That’s why we offer Damon Clear braces, which blend seamlessly with your natural tooth color, allowing for a more discreet treatment option. Here are 5 compelling reasons why Damon Clear braces could be an excellent choice, along with how they stack up against traditional braces and clear aligners options, like Invisalign®: 1. Natural Aesthetic Appeal Damon Clear braces are crafted from high-quality materials that mimic the clarity and color of natural teeth. Each bracket is made from a single crystal, precision-cut and polished to ensure strength and near-invisibility. This feature is particularly appealing to teens who might feel self-conscious about their smiles during these crucial years. 2. Effective Alternative to Invisalign While clear aligners options, like Invisalign® offers the benefit of being nearly invisible, it requires a high level of discipline to wear the aligners for the recommended 22 hours a day. Damon Clear braces provide a middle ground by offering the aesthetic benefits of being less noticeable while eliminating the responsibility of removable trays. This can be particularly advantageous if you anticipate your teen might struggle with the discipline required for clear aligners options, like Invisalign® 3. Non-removable Solution Damon Clear braces are bonded directly to the teeth, meaning they are working around the clock to correct your teen’s smile. Unlike clear aligners options, like Invisalign®, which can be removed and potentially forgotten, ceramic braces stay in place to continuously adjust tooth alignment. This constant pressure helps ensure the treatment stays on track and reduces the overall duration of wearing braces. 4. Continuous Treatment With Damon Clear braces, there’s no risk of losing progress because they are forgotten or not worn enough. They remain on your teen’s teeth 24/7, providing consistent treatment and minimizing the duration your child spends in braces. 5. Resists Stains Modern Damon Clear braces are designed to resist staining better than their earlier counterparts. This allows your teen to maintain a bright and confident smile even while undergoing orthodontic treatment. We ensure that any components that might stain, like the elastic ties, are changed regularly during orthodontic visits. Learn More About Ceramic Braces At HeRo Orthodontics, Damon Clear braces are just one of the many advanced options we provide to ensure comfortable, effective, and aesthetically pleasing treatment. Call us today at HeRo Orthodontics, or visit us online to schedule an appointment and learn more about how ceramic braces can benefit you or your family. If you or someone you know want a straighter smile and all the benefits that come with it, you can contact HeRo Orthodontics. They can help you achieve a healthy and vibrant smile for the whole family. Just give them a call at (972) 722-4376. Be a HeRo share a smile!
By Aj B April 19, 2024
Patient Spotlight March 2024 - Starr